Gusi Bengkak Tanpa Rasa Sakit, Ini Penyebab yang Perlu Diwaspadai

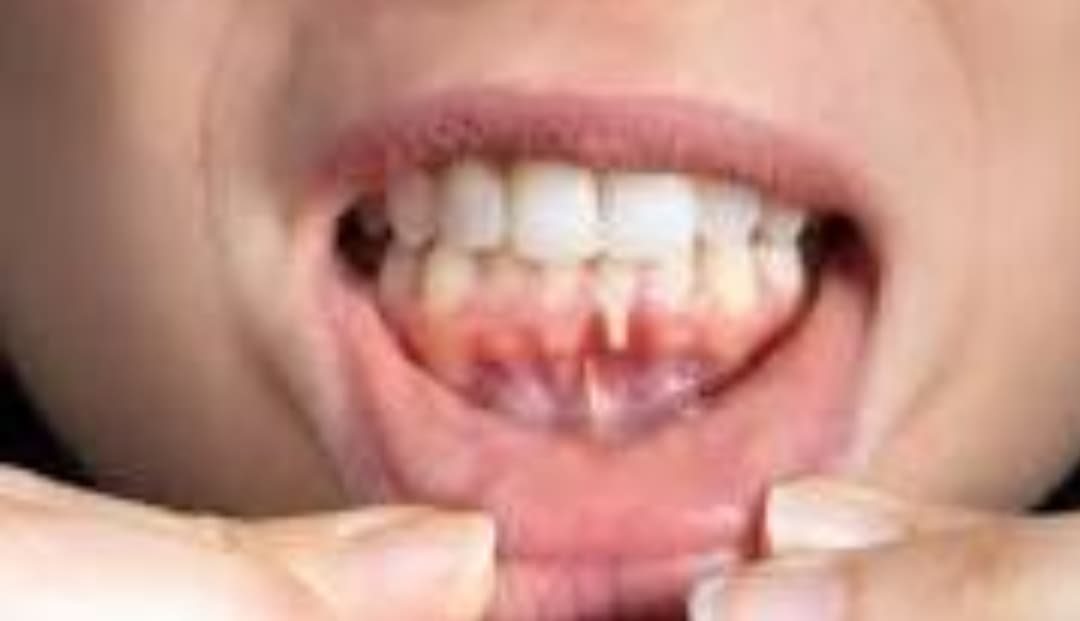
AKURAT.CO Gusi bengkak umumnya identik dengan rasa nyeri atau tidak nyaman di mulut. Namun, tidak sedikit orang mengalami pembengkakan gusi tanpa disertai rasa sakit sama sekali.
Kondisi ini kerap menimbulkan kebingungan karena gejalanya terlihat jelas, tetapi tidak menimbulkan keluhan berarti.
Ahli kesehatan gigi menyebutkan bahwa gusi bengkak tanpa rasa sakit dapat disebabkan oleh berbagai faktor yang sering luput dari perhatian.
Salah satu penyebab paling umum adalah kebersihan mulut yang kurang optimal.
Sisa makanan dan plak yang menumpuk di sela-sela gigi dapat memicu peradangan ringan pada jaringan gusi.
Meski tidak menimbulkan nyeri, gusi akan merespons iritasi tersebut dengan pembengkakan sebagai bentuk mekanisme perlindungan tubuh.
Selain kebersihan mulut, perubahan hormon juga berpengaruh terhadap kesehatan gusi.
Perempuan yang sedang hamil, mengalami menstruasi, atau menggunakan kontrasepsi hormonal kerap mengalami gusi bengkak tanpa rasa sakit.
Baca Juga: Kenali Tanda-tanda Stroke Sejak Dini untuk Cegah Dampak Fatal
Fluktuasi hormon dalam kondisi tersebut meningkatkan aliran darah ke jaringan gusi sehingga membuatnya lebih sensitif dan mudah mengalami pembengkakan.
Faktor lain yang turut berperan adalah kondisi medis tertentu.
Kekurangan vitamin, terutama vitamin C, dapat mengganggu kesehatan jaringan gusi dan memicu peradangan ringan.
Akibatnya, gusi tampak membengkak meskipun tidak disertai rasa nyeri.
Selain itu, penyakit sistemik seperti diabetes yang tidak terkontrol juga diketahui dapat meningkatkan risiko pembengkakan gusi tanpa gejala sakit.
Penggunaan obat-obatan tertentu juga bisa menjadi pemicu. Beberapa jenis obat, seperti obat anti-epilepsi, obat tekanan darah, serta imunosupresan, memiliki efek samping berupa pembesaran jaringan gusi.
Karena terjadi secara perlahan, perubahan ini sering kali baru disadari ketika pembengkakan sudah cukup jelas.
Dokter gigi mengingatkan bahwa gusi bengkak tanpa rasa sakit tetap perlu mendapatkan perhatian medis.
Kondisi ini dapat menjadi tanda awal gangguan kesehatan mulut atau masalah sistemik yang lebih serius.
Pemeriksaan gigi secara rutin, menjaga kebersihan mulut dengan baik, serta memastikan asupan nutrisi yang seimbang merupakan langkah penting untuk menjaga kesehatan gusi.
Baca Juga: Mengenal GERD, Penyakit Asam Lambung yang Tak Boleh Diabaikan
Dengan memahami berbagai penyebab gusi bengkak tanpa rasa sakit, masyarakat diharapkan lebih waspada terhadap perubahan yang terjadi di rongga mulut.
Deteksi dini dan penanganan yang tepat menjadi kunci untuk mencegah komplikasi serta menjaga kesehatan gigi dan gusi dalam jangka panjang.
Laporan: Novi Karyanti/magang
Dilarang mengambil dan/atau menayangkan ulang sebagian atau keseluruhan artikel di atas untuk konten akun media sosial komersil tanpa seizin redaksi.
Berita Terkait
Berita Terkini










